Una nuova frontiera nella lotta al cancro arriva dalla stampa 3D. TissueTinker, startup nata come spin-off della McGill University, sta sviluppando una piattaforma innovativa per la stampa di modelli tumorali personalizzabili, pensata per rendere i test farmacologici più realistici ed efficaci già in fase preclinica.

L’obiettivo? Contrastare l’attuale tasso di fallimento del 90% dei farmaci oncologici dopo la fase preclinica, dovuto spesso all’inadeguatezza dei modelli utilizzati per testarli. Co-fondata da Benjamin Ringler, Madison Santos e Isabelle Dummer, TissueTinker ha ricevuto il premio Develop del McGill Innovation Fund per affinare la propria tecnologia.
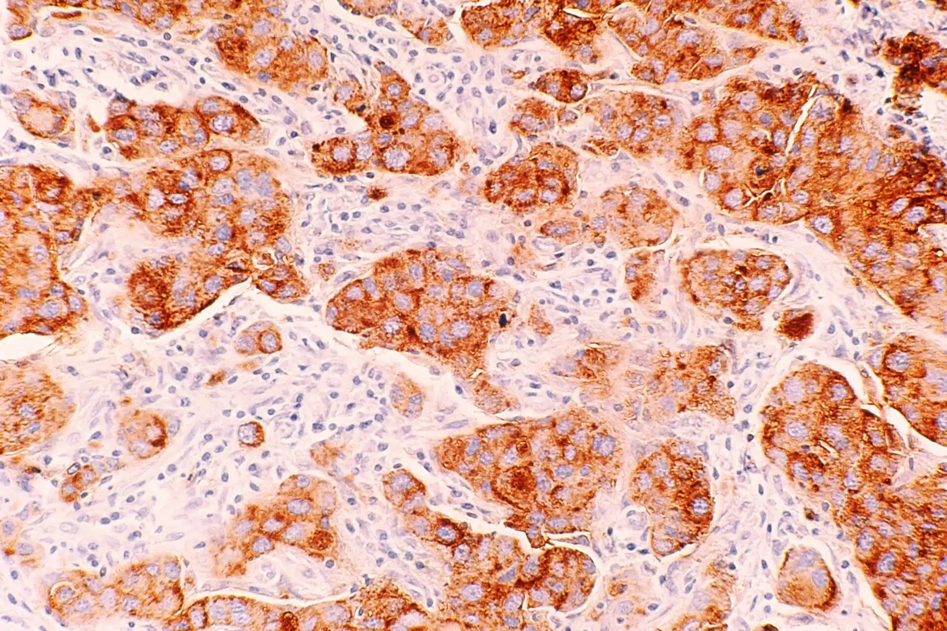
A differenza delle colture cellulari 2D e dei test su animali, i modelli di TissueTinker sono tumori miniaturizzati (circa 300 µm) stampati in 3D con bioink ricco di cellule vive, sia sane che tumorali. Questi modelli replicano fedelmente le caratteristiche fisiologiche dei tumori umani, inclusi i “core ipossici”, ovvero aree prive di ossigeno spesso responsabili della resistenza ai trattamenti.

Grazie a una struttura modulare e personalizzabile, i ricercatori possono adattare ogni modello in base al tipo di tumore o allo specifico farmaco da testare. Il sistema consente quindi di simulare una vasta gamma di condizioni biologiche, migliorando la precisione dei risultati e riducendo la dipendenza da test animali.
L’approccio di TissueTinker trova ulteriore validazione nei nuovi orientamenti della FDA, che ora autorizza l’uso di modelli umani per sostituire quelli animali nei test preclinici. Questo rende la tecnologia della startup particolarmente promettente in un panorama regolatorio in evoluzione.
Con il supporto strategico del McGill Innovation Fund, il team sta ora ampliando la propria “libreria tumorale” e punta a collaborare con aziende farmaceutiche e centri di ricerca. In un mondo in cui il cancro ha causato 10 milioni di morti solo nel 2020, TissueTinker potrebbe offrire una svolta cruciale nel rendere più rapido, economico ed etico lo sviluppo di terapie oncologiche.
